Every normal eye has a clear natural lens. The lens function is to focus light on to the retina and to form a clear image of what we see.
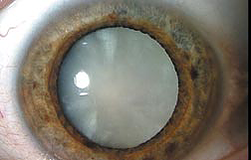
Cataract is due to clouding of the natural lens of our eyes. Our natural lens is basically made up of water and protein. With aging, degeneration process occurs gradually and the lens becomes cloudy/opaque. The cataractous lens obstructs light from reaching the retina. Thus, cataract causes gradual blurring of vision. The blurred vision due to cataract could not be corrected with glasses.
Effect of Cataract:
Cataract Surgery
Cataract surgery is the standard treatment for cataract. Currently,there is no medicines that can clear the lens opacity effectively. So far, cataract surgery is the most beautifully evolved surgery among all over the years. It is also the most cost-effective surgery according to WHO. The advances in surgical technique and innovation on instruments have made cataract surgery easier and faster with very good success rate and with good predictable visual outcome.
Phacoemulsification Cataract Surgery
This is the most commonly performed technique for cataract surgery. It entails making a very small incision (about 2.75 mm or less) on the eye and by using a pentip-size instrument; the cloudy lens is broken and removed. An artificial intraocular lens (IOLs) is then inserted into its natural position in a capsular bag.. Most of the patients can be done under topical anaesthesia in15 minutes time. One would be surprised to see how quick and pain-free a cataract surgery could be!
When is the best time to go for Cataract Surgery?
Cataract surgery is advisable when your vision is blurred or when it starts to interfere with your daily activity.
The timing of cataract surgery sometimes depends on each individual’s visual requirement. Eg. A Taxi driver may need an early cataract surgery because he needs very good vision to drive a car; a housewife may still cope well when her early cataract only blocks 10-20 % of her vision.
What happen if you wait too long or not treated?
The lens will become more opaque and more dense and you will eventually lose your vision. Too dense a cataract makes cataract surgery difficult and more prone to surgical complications. Cataract surgeons may opt for old extra-capsular cataract extraction (ECCE) technique (where incision wound is larger) because phacoemulsification of a dense cataract may cause thermal injury to the cornea.
The worse senario is when the cataract becomes swollen and causes very high eye pressure needing emergency cataract surgery. A hypermature cataract may dislocate into the anterior chamber or posterior chamber of the eye. Cataract surgery at this complicated stage usually yields no good visual outcome. |